DİŞ ETİ ÇEKİLMESİ
Diş eti çekilmesi, dişleri saran diş eti dokusunun geri çekilerek diş veya diş kökünün açığa çıkması durumudur. Bu durumda dişler ve diş eti çizgisi arasında boşluklar veya “cepler” oluşabilir. Diş eti çekilmesi tedavi edilmediği takdirde, dişi destekleyen dokular ve çene kemiği ciddi şekilde zarar görebilir ve diş kaybı meydana gelebilir. İşte diş eti çekilmesi hakkında merak edilen konular:
Diş Eti Nedir?
Diş etleri veya gingiva, her dişi boyun kısmının etrafında ve dişin görünen kısmının altında bulunan pembe renkli dokudur. Diş etleri kan damarları açısından zengindir ve diş köklerini korur. Diş etleri çene kemiğine yapışıktır.
Diş Eti Çekilmesi Nedir?
Diş eti çekilmesi, yaygın bir diş sorunudur ve her yaşta görülebilir. Birçok insan, diş etlerindeki çekilmeyi fark etmez, çünkü bu süreç yavaş bir şekilde gerçekleşir. Diş eti çekilmesi farklı nedenlere bağlı olarak ortaya çıkabilir. Tedavi, temel nedenin ele alınmasına bağlı olduğundan, diş eti çekilmesinden şüpheleniyorsanız, bir diş hekimine başvurmanız önemlidir.
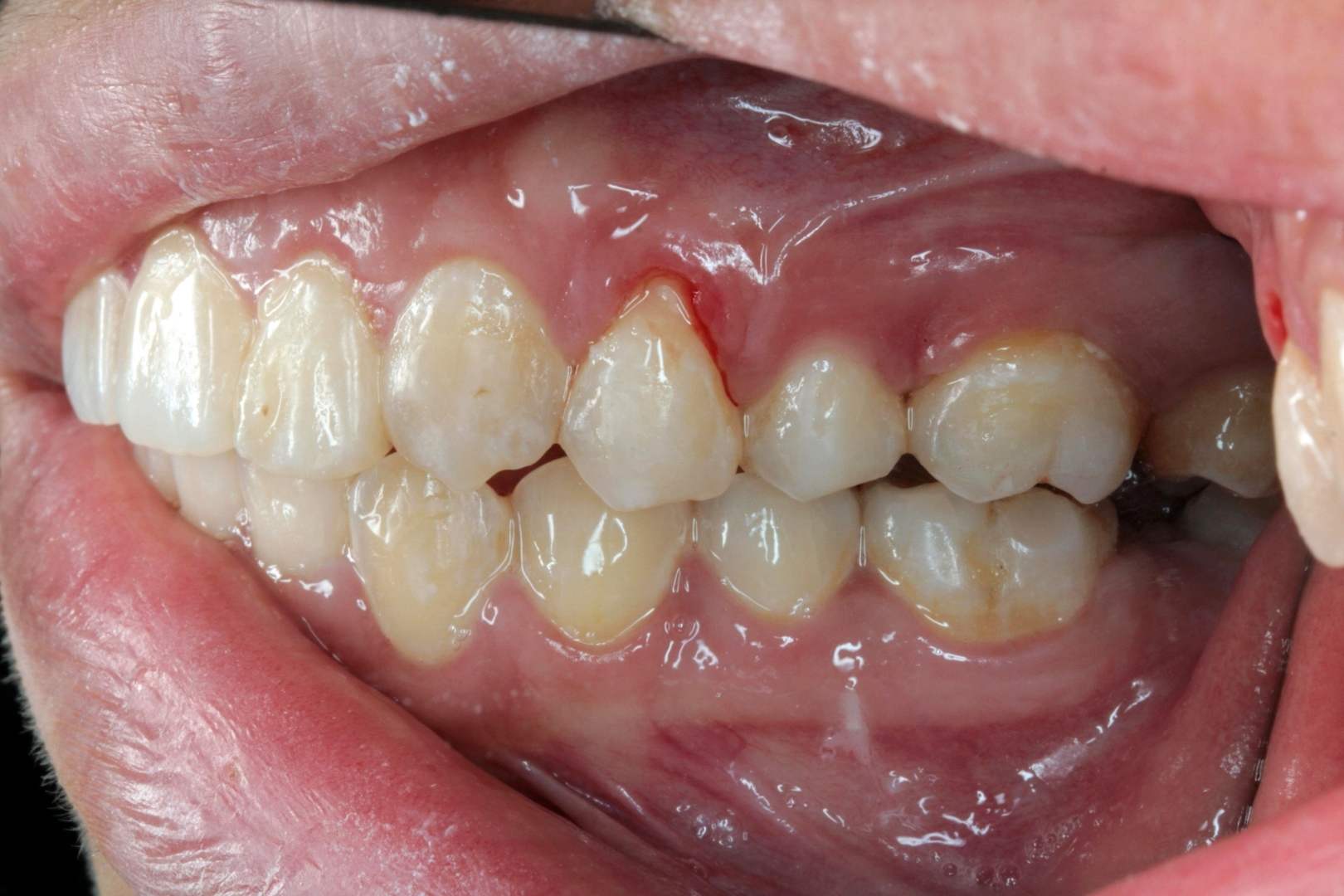
Diş Eti Çekilmesinin Belirtileri Nelerdir?
Diş eti çekilmesinin ilk belirtisi genellikle diş hassasiyetidir. Bunun dışında, diş eti çekilmesinin belirtileri şunlar olabilir:
- Diş fırçalarken veya normal zamanlarda diş etlerinden kanama
- Sert yiyecekler yerken (örneğin elma veya armut gibi) kanama
- Dişin normalden daha uzun görünmesi
- Diş etlerinde kızarıklık veya şişlik
Tedavi ve Önlemler
Diş eti çekilmesi tedavisinde, altta yatan nedenin belirlenmesi önemlidir. Tedavi seçenekleri arasında diş eti nakli, cebi temizleme, periodontal cerrahi veya diş protezlerinin ayarlanması yer alabilir. Ayrıca, diş eti çekilmesini önlemek için düzenli ve etkili diş fırçalama, diş ipi kullanımı, düzenli diş hekimi kontrolleri ve sigara gibi zararlı alışkanlıklardan kaçınmak önemlidir.
Unutmayın, diş eti çekilmesi konusunda herhangi bir şüpheniz varsa, bir diş hekimine danışmak en iyi seçenektir.
DİŞ ETLERİ NEDEN ÇEKİLİR?
Diş etlerinin çekilmesine neden olabilecek birçok faktör vardır. İşte diş etlerinin çekilmesine yol açabilen etkenler:
Periodontal hastalıklar: Bakteriyel diş eti enfeksiyonları olan periodontal hastalıklar, diş eti dokusunu ve dişleri destekleyen kemiği tahrip eder. Diş eti hastalığı, diş eti çekilmesinin ana nedenidir.
Genetik etkiler: Bazı insanlar diş eti hastalığına karşı daha duyarlı olabilir. Yapılan araştırmalar, toplumun %30’unun diş eti hastalığına yatkın olabileceğini göstermektedir, bu da diş etlerinin çekilmesine neden olabilir.
Yanlış ve sert diş fırçalama: Dişleri çok sert veya yanlış bir şekilde fırçalamak, dişleri koruyan yapı olan diş minesinin yıpranmasına ve diş etlerinin çekilmesine yol açabilir.
Yetersiz diş bakımı yapmak: Yetersiz ve düzensiz diş fırçalama, diş ipi kullanmama ve antibakteriyel gargara kullanmama gibi etkenler, dişler arasında biriken plakların tartara dönüşmesini kolaylaştırır. Tartarlar, diş etlerine ve dişlere yapışan sert yapılar olup, diş eti çekilmesine sebep olabilir.
Hormonal değişiklikler: Ergenlik, hamilelik, emzirme ve menopoz gibi hormonal değişiklikler, diş etlerinin daha hassas hale gelmesine neden olabilir. Bu dönemlerde diş eti çekilmesi daha sık görülebilir.
Tütün ürünleri kullanmak: Tütün ürünleri kullanan kişilerde, dişlerde temizlenmesi zor plak birikimi ve diş eti çekilmesi olasılığı daha yüksektir.
Dişleri gıcırdatmak ve sıkmak: Stresli dönemlerde bilinçsizce diş sıkmak veya gıcırdatmak, diş etlerine fazla basınç uygulayarak çekilmeye neden olabilir.
Çarpık dişler veya yanlış hizalanmış ısırık: Dişlerin düzgün hizalanmadığı durumlarda, diş, diş etleri ve kemiğe fazla basınç uygulayarak zamanla diş eti çekilmesine yol açabilir.
Dudak veya dile piercing yaptırmak: Dudak veya dile takılan bir piercing, sürekli diş etlerine temas ederek tahrişe ve diş eti dokusunun yıpranmasına neden olabilir.
DİŞ ETİ ÇEKİLMESİNİN TEDAVİSİ
Hafif diş eti çekilmesi tedavisi, diş hekimi tarafından etkilenen bölgenin derinlemesine temizlenmesiyle yapılır. Bu işlem sırasında, diş eti çizgisinin altındaki plak ve tartar dikkatlice temizlenir, kök yüzeyleri düzleştirilir ve bakterilerin tutunmasını zorlaştırmak için gerekli önlemler alınır. Gerektiğinde diş hekiminiz antibiyotik reçeteleyebilir.
Eğer diş eti çekilmesi derin cepler veya aşırı kemik kaybı nedeniyle tedavi edilemeyecek kadar ciddi ise, diş eti ameliyatı gerekebilir. Bu ameliyat, diş eti çekilmesinin neden olduğu hasarı onarmayı hedefler.
DİŞ ETİ ÇEKİLMESİNİN ÖNLENMESİ
Diş eti çekilmesini önlemenin en önemli yolu, düzenli ve etkili diş bakımı yapmaktır. Her gün dişlerinizi fırçalayın, diş ipi kullanın ve düzenli olarak diş hekiminizi ziyaret edin. Eğer diş eti çekilmesi problemi yaşıyorsanız, diş hekiminiz daha sık kontroller yapmanızı önerebilir. Ayrıca şu yöntemleri de deneyebilirsiniz:
Sigara ve tütün ürünlerinden uzak durun.
Dengeli ve sağlıklı bir diyet uygulayın.
Ağızda meydana gelen herhangi bir değişikliği takip edin ve ihmal etmeyin.
Dişlerinize iyi bakarak, sağlıklı bir gülümsemeye sahip olabilirsiniz.
Sağlıklı günler dileriz.

